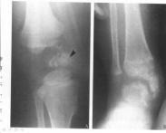
骨骺點狀發育不良又名康拉迪病(Conradi’s disease)、先天性點狀軟骨發育不良(chondrodystrophia congenita punletata)或點狀骨骺發育不良(dysplasia epiphysialis punctata)是由不同外顯率的常染色體隱性基因所引起的疾病。具有不相稱的短上臂和大腿,有短而粗的手指和足趾,關節強直,頸短,鼻梁扁平,上腭高,呈拱形。有些患者尚伴有先天性白內障,骨骺或心血管系統的缺陷。
- 疾病介紹
疾病標簽:
-
骨骺點狀發育不良,骨骺點狀發育不良癥狀,骨骺點
相關疾病
-
先天性髖關節脫位
628健康網為您分享有關先天性髖關節脫位的癥狀,先天性髖關節脫位的治療方法,先天性髖關節脫位的預防知識,先天性髖關節脫...
-
脊椎結核寒性膿腫穿入空腔臟器
628健康網為您分享有關脊椎結核寒性膿腫穿入空腔臟器的癥狀,脊椎結核寒性膿腫穿入空腔臟器的治療方法,脊椎結核寒性膿腫...
-
骨關節病
628健康網為您分享有關骨關節病的癥狀,骨關節病的治療方法,骨關節病的預防知識,骨關節病的癥狀圖片,骨關節病吃什么藥,骨...
-
脛骨平臺骨折
628健康網為您分享有關脛骨平臺骨折的癥狀,脛骨平臺骨折的治療方法,脛骨平臺骨折的預防知識,脛骨平臺骨折的癥狀圖片,脛...
版權聲明:
1、本站內容僅做參考,不能作為診斷及醫療的依據!
2、本文內容來源于網絡或會員發布,版權歸原網站所有。
3、本站僅提供信息展示,不承擔相關法律責任。





